Nya rön om juvertumör hos hund
Det finns skillnader i mikroRNA-mönstret hos juvertumörer hos hund när det gäller tumörer som har metastaserat och tumörer som inte har gjort det. Analys av mikroRNA kan alltså användas för att bedöma risken för metastasering.
Juvertumörer är vanligt hos hund, framförallt hos äldre tikar. För att kunna ge en drabbad hund bästa behandling är det viktigt med information om tumörens typ och risken för metastasering, det vill säga risken för spridning till andra organ.
För att förbättra diagnos av juvertumörer hos hund har forskare från Polen, Tyskland och SLU studerat avvikelser i mikroRNA hos olika typer av juvertumörer. MikroRNA är korta enkelsträngade molekyler som fungerar som budbärare i arvsmassan. Molekylerna bidrar till regleringen av gener och är viktiga bland annat vid cancer. Studien visar att det finns skillnader i mikroRNA-mönstret hos tumörer som metastaserat och tumörer som inte gjort det. Detta innebär att analys av mikroRNA kan användas för att bedöma risken för metastasering hos juvertumörer hos hund.
Länk till den vetenskapliga artikeln här
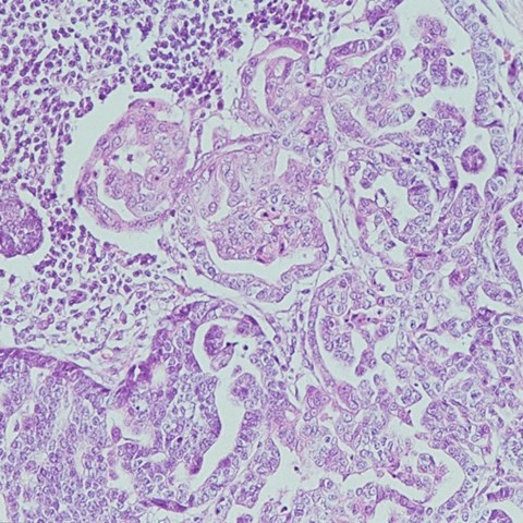
Bild: Cancerceller i en metastas från juvertumör till lymfknuta. Foto Eva Hellmén


